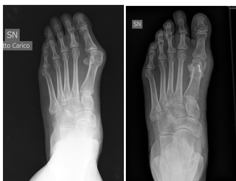
Alluce valgo

Definizione.

Una volta che l’alluce devia dal suo asse rettilineo, e punta sempre più in direzione del quinto dito, si parla di deviazione in “valgo”. Questo crea inevitabilmente una sporgenza ossea all’interno del piede, nota anche come “cipolla”.


Cause.

Sono state descritte diverse cause. Spesso c’è una tendenza familiare e, nella maggior parte dei casi, questa deviazione si trova nelle donne. Indossare calzature alte e aderenti può peggiorare la deviazione. Poiché si crea un certo squilibrio tra le strutture ossee, i legamenti e i tendini, questa deviazione “in valgo” ha un progressivo aumento della deformità.


Sintomi.

Il trattamento dipende interamente dal disagio che provi come paziente. Poiché il dolore a livello dell’alluce peggiora indossando calzature inadeguate, i sintomi saranno anche direttamente collegati al tipo e alla taglia delle scarpe che indossi. Inoltre, la percezione del dolore varia notevolmente da persona a persona. Alcuni pazienti hanno solo una piccola deviazione, con molto disagio e dolore durante le attività quotidiane, mentre altri hanno malformazioni importanti, con pochi sintomi. Il problema più comune è trovare calzature adeguate e quindi la scarsità di spazio per la sporgenza mediale dell’alluce. Questo crea attrito, infiammazione e talvolta ferite.
Quando la deviazione aumenta, il tendine flessore ha meno potenza e devia sempre più dal suo percorso normale. Per questo motivo, l’alluce spingerà meno mentre si cammina, creando una maggiore pressione sotto il resto dell’avampiede. Anche se l’alluce valgo è poco doloroso, ma il resto della parte anteriore del piede (dita a martello o metatarsalgia) mostra sempre più sintomi, potrebbe effettivamente esistere un’indicazione all’intervento chirurgico.


Trattamento.

In sostanza, il trattamento di una deviazione dell’alluce valgo può essere riassunto in poche parole: “O il paziente adatta la calzatura al piede, o il piede deve essere adattato alle tue scarpe!” Sembra semplice, ma è la nuda verità. Bisogna anche rendersi conto che la chirurgia estetica in caso di deviazione dell’alluce valgo è decisamente indesiderabile.

Trattamento non chirurgico.
Innanzitutto, le scarpe devono essere regolate per evitare l’attrito e la scelta di scarpe basse, con una punta larga e liscia, può farlo. I plantari di per sé possono correggere un possibile problema del retropiede o una metatarsalgia, ma a causa di ciò, ci sarà sostanzialmente meno spazio disponibile per l’alluce e l’attrito potrebbe peggiorare.


Trattamento chirurgico.

Esistono molti tipi di procedure chirurgiche per rimettere l’alluce in posizione corretta e, quindi, per ridurre la sintomatologia. La tecnica scelta dipenderà dai seguenti fattori: la gravità e l’entità della deviazione, la capacità correttiva (cioè può essere ridotta passivamente in posizione eretta), la presenza di artrosi, la presenza di patologie associate, la mobilità articolare, la preferenza del chirurgo, la lunghezza dell’alluce rispetto agli altri… L’obiettivo è sempre quello di ripristinare lo squilibrio che si è creato intorno all’articolazione, cercando di ricentrare l’osso metatarsale sopra le ossa sesamoidi.

A seconda del grado della deformità e dell’orientamento delle superfici articolari, possono essere eseguite delle osteotomie alla base (prossimale), al centro (diafisario) o all’estremità (distale).
Per quanto riguarda il trattamento chirurgico esistono numerose tecniche (più di 100 descritte in letteratura internazionale); l’obiettivo è la correzione duratura della deformità, il miglioramento della sintomatologia, conservando nello stesso tempo una buona motilità dell’articolazione.
Per ottenere questo bisogna utilizzare tecniche individualizzate per ogni diverso tipo di piede; una tecnica che funziona per un paziente potrebbe non funzionare in un altro! Questo si rende possibile con modifiche personalizzate alla tecnica chirurgica. In alcuni casi sarà possibile eseguire l’intervento con tecnica mini-invasiva, in altri tramite una piccola incisione.


Post-operatorio.

Il carico viene concesso già in prima giornata post-operatoria con una scarpa adeguata. I punti di sutura vengono rimossi dopo 14 giorni e dalla quarta settimana è già possibile la deambulazione con una calzatura comoda del paziente, la guida di un’automobile e il ritorno graduale alle attività lavorative, anche in questo caso in base alle risposte individuali del singolo paziente.
È poi bene ricordare che dopo la seconda settimana è utile un ciclo di riabilitazione fisiokinesiterapia e idrokinesiterapia per ridurre l’edema e ripristinare il corretto schema del passo.