Alluce rigido
L’alluce rigido è caratterizzato da una artropatia degenerativa dell’articolazione metatarso-falangea dell’alluce con dolore, notevole rigidità e conseguente limitazione del movimento.
Questo provoca dolore intenso a ogni tentativo di mobilizzazione dell’articolazione, soprattutto nella flessione dorsale con difficoltà a utilizzare calzature con il tacco, accucciarsi, mettersi in punta dei piedi, fare le scale.
Le cause sono da ricondurre a microtraumi ripetuti sull’articolazioni metatarso-falangee, calzature incongrue. Questa patologia è frequente anche nei giovani e negli uomini (a differenza dell’alluce valgo che colpisce più frequentemente il sesso femminile) e negli atleti che praticano attività sportive con movimenti ripetitivi. La patologia è notevolmente invalidante: l’alluce si presenta senza particolari deviazioni, rigido, doloroso con una caratteristica tumefazione dorsale sulla testa del primo metatarso, “dorsal bunion” o “cipolla dorsale”.
Il trattamento in attesa di intervento prevede l’uso di calzature comode, con tacco basso, ed esercizi di kinesiterapia.
Il trattamento in ogni caso è prevalentemente chirurgico e dipende dallo stadio della malattia.
Nei casi più lievi si va dalle osteotomie di resezione delle sporgenze ossee con decompressione dell’articolazione dell’alluce, fino alle osteotomie più complesse, alle sostituzioni protesiche e infine all’artrodesi.
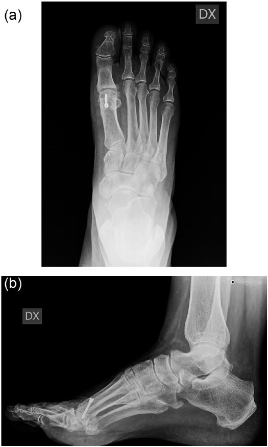
Noi preferiamo, nei casi di media gravità, le osteotomie di decompressione articolare, con accorciamento e sottrazione di 2-3mm, stabilizzate con una vite; l’obiettivo è quello di ridurre la sintomatologia dolorosa, ridare motilità e conservare l’articolazione rispettando i parametri fisiologici. Grazie a questa tecnica mini-invasiva da noi personalizzata abbiamo avuto un ottimo riscontro da parte dei pazienti. I risultati sono stati anche pubblicati su una delle principali riviste scientifiche al mondo specializzate nella chirurgia del piede e della caviglia (http://www.ncbi.nlm.nih.gov/pubmed/26187719).
Nei casi più avanzati tuttavia questo intervento potrebbe non essere sufficiente (fondamentale è la corretta diagnosi); in questi casi utilizziamo la sostituzione protesica della testa del primo metatarso: intervento efficace con buoni risultati, sempre con l’obiettivo di togliere il dolore e ridare motilità all’articolazione. Nei casi ancora più avanzati l’osteotomia a cerniera o l’artrodesi possono rappresentare un’ulteriore arma. Nel primo caso con sacrificio articolare solo della parte dorsale per ridurre il dolore e mantenere una parte del movimento. Nel caso dell’artrodesi invece l’obiettivo è di togliere il dolore ma con sacrificio completo dell’articolazione.
Data la complessità del tema trattato, l’approccio va sempre personalizzato in base allo stadio della patologia e alle richieste funzionali del paziente, per ottenere il miglior risultato possibile!
Osteotomia di sottrazione per decomprimere articolazione

Pre-operatorio con notevole artrosi della prima articolazione metatarso-falangea

Risultato dopo osteotomia decompressiva

Risultato dopo 2 anni. Buona dorsiflessione attiva e ottimo recupero funzionale

